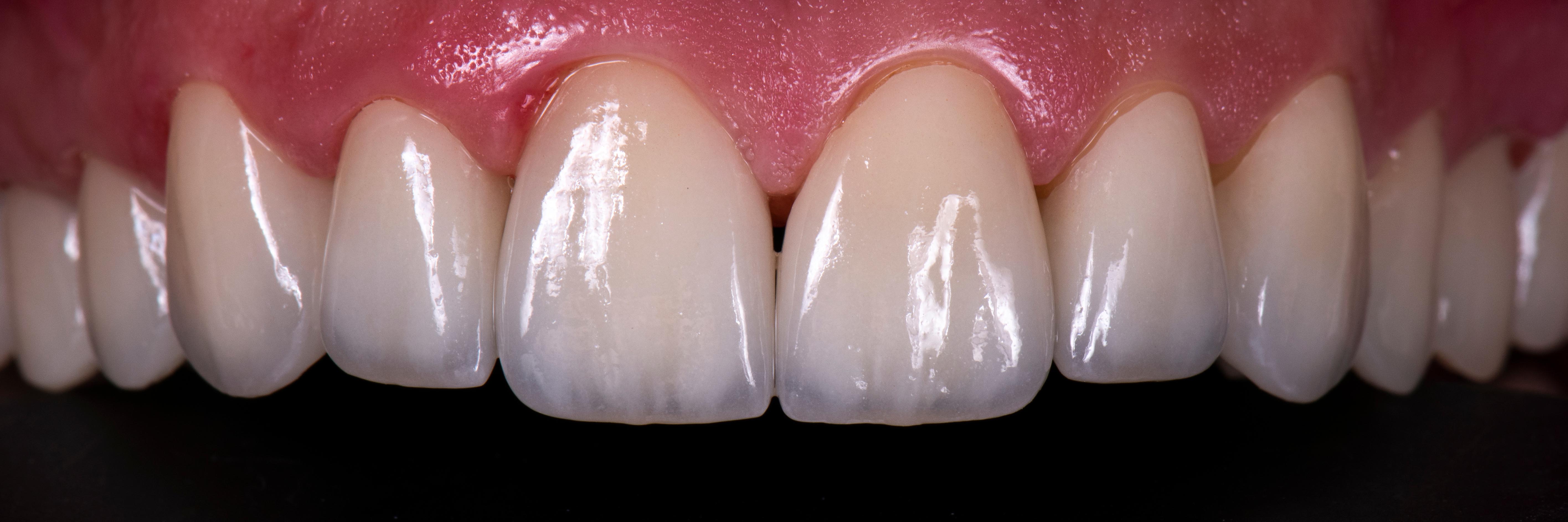
Vollkeramik / Zirkon / Presskeramik




Vollkeramischer Zahnersatz ist mittlerweile zum Maßstab und Standard zahntechnischer Versorgungsarten geworden.
Wir bieten Ihnen das gesamte Spektrum von (voll-)keramischem Zahnersatz:
• Presskeramik aus IPS empress® oder IPS e.max®
• Zirkon (monolithisch aus mehrfarbigen Blöcken gefräst / Zirkongerüst voll- bzw. teilverblendet)
Mit hohem technischen Knowhow und ästhetischem Anspruch fertigen unsere Zahntechniker Ihre Aufträge für Sie an.